Confiez vos prothèses dentaires à des experts de confiance
Nous travaillons main dans la main avec les cabinets dentaires pour offrir à chaque patient des solutions adaptées, fiables et réalisées avec soin.


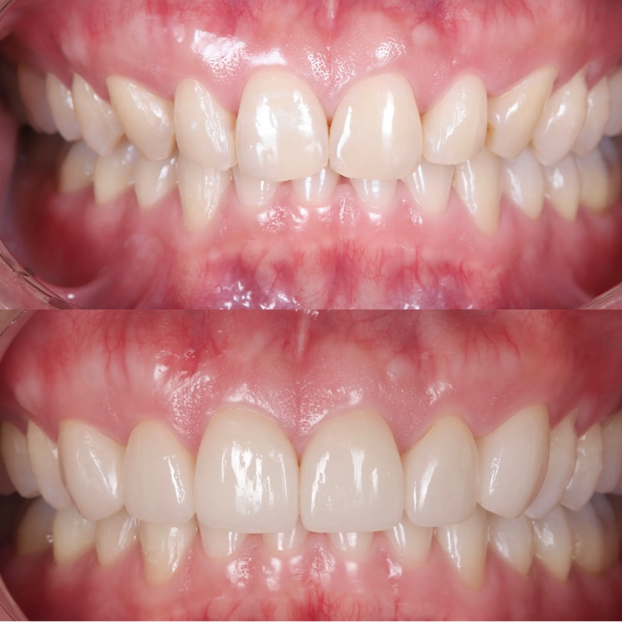
Le Smile Design numérique permet de simuler le sourire final du patient avant toute réalisation prothétique. Grâce à cette technologie, le praticien et le patient valident ensemble le projet esthétique en amont, ce qui garantit un résultat plus naturel, plus précis et mieux accepté.
Le Smile Design facilite la communication avec vos patients en leur offrant une visualisation claire du futur résultat. Il vous permet de planifier vos cas esthétiques avec précision et de réduire considérablement les ajustements au fauteuil. Vos patients gagnent en confiance et votre cabinet en efficacité.

Notre laboratoire s’appuie sur un protocole numérique rigoureux :
Le Smile Design est particulièrement indiqué pour :
En intégrant le Smile Design dans nos services, nous permettons aux praticiens de proposer une expérience moderne et rassurante à leurs patients.Notre expertise technique et notre maîtrise des flux numériques garantissent des restaurations esthétiques, précises et parfaitement adaptées.
Avec le Smile Design numérique, vous offrez à vos patients la possibilité de visualiser leur futur sourire avant même le début du traitement.
Nous travaillons main dans la main avec les cabinets dentaires pour offrir à chaque patient des solutions adaptées, fiables et réalisées avec soin.